ペットに毒のある観葉植物モンステラとサトイモで自由研究!感じよう - 猫 シ ュウ 酸 カルシウム 治療
ペットに毒のある観葉植物モンステラとサトイモで自由研究!感じよう 
倉吉動物医療センター・山根動物病院&米子動物医療センター 腎泌尿器病
症例報告
獣医師監修】猫にとって危険・安心な観葉植物|アクサダイレクト
症例報告
猫の危険な『おしっこトラブル』4つ!初期症状や原因・予防策を徹底
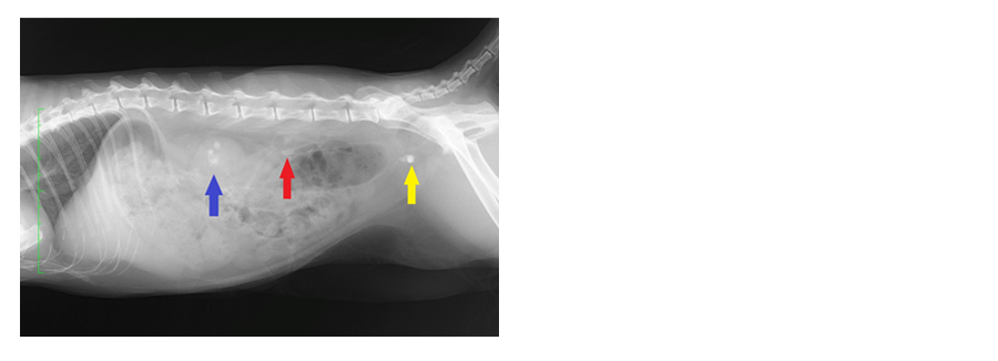
あやい動物日記 2016年7月
犬猫の尿路結石症について|横浜市磯子区、金沢区のくりの木動物病院
症例報告
きょんきょん様専用 ペットアカデミーセミナー 
いぬとねこの病気過去ページ
猫の尿石症(尿路結石症)ってどんな病気? 猫との暮らし大百科
0 Response to "ペットに毒のある観葉植物モンステラとサトイモで自由研究!感じよう - 猫 シ ュウ 酸 カルシウム 治療"
Post a Comment